г. Минск
ул. Денисовская 5
(м. Кавальская Слабада)

Пн-Пт 9:00-21:00
Cб 9:00-15:00
Вс — выходной

Запись на приём:
Организация лечения иностранных граждан:

Работы врачей Stomtravel

пациент до
пациент после

Комплексная одноэтапная имплантация зубов верхней и нижней челюсти

Имплантация
Больше информации о работе
пациент до
пациент после

Имплантация и протезирование верхней челюсти

Имплантация
Больше информации о работе
зуб после удаления
одномоментная имплантация

Одномоментная имплантация системой Megagen

Одномоментная имплантация
Больше информации о работе
До
После

Имплантация с последующим изготовлением протезов с балочным креплением

Имплантация
Больше информации о работе
Имплантация с немедленной нагрузкой
Имплантация с немедленной нагрузкой

Имплантация с немедленной нагрузкой

Имплантация
Больше информации о работе
На нижней челюсти проведена имплантация в области жевательных зубов
На нижней челюсти проведена имплантация в области жевательных зубов

На нижней челюсти проведена имплантация в области жевательных зубов

Имплантация
Больше информации о работе
пациент до
пациент после

All-on-4 на обе челюсти за 8 дней с имплантатами Megagen

Имплантация All-on-4
Больше информации о работе
Ситуация до имплантации
Пациент после имплантации по методике все на шести

Имплантация по методике все на шести с использованием имплантатов Megagen

Имплантация All-on-4 / All-on-6
Больше информации о работе
Протезирование на имплантатах по методике все на 4/6
Протезирование на имплантатах по методике все на 4/6

Протезирование на имплантатах по методике все на 4/6

Имплантация All-on-4 / All-on-6
Больше информации о работе
имплантация по методике все-на-4
имплантация по методике все-на-4

Имплантация зубов по методике все-на-4

Имплантация All-on-4 / All-on-6
Больше информации о работе
восстановление по методике все-на-4
восстановление по методике все-на-4

Восстановление по методике все-на-4

Имплантация All-on-4 / All-on-6
Больше информации о работе
пациент до имплантации
пациент после имплантации

Имплантация по методу all-on-6 на имплантатах Neodent

Имплантация All-on-4 / All-on-6
Больше информации о работе
пациент до
пациент после

Комплексная одноэтапная имплантация зубов верхней и нижней челюсти

Имплантация
Больше информации о работе
пациент до
пациент после

Имплантация и протезирование верхней челюсти

Имплантация
Больше информации о работе
зуб после удаления
одномоментная имплантация

Одномоментная имплантация системой Megagen

Одномоментная имплантация
Больше информации о работе
До
После

Имплантация с последующим изготовлением протезов с балочным креплением

Имплантация
Больше информации о работе
Имплантация с немедленной нагрузкой
Имплантация с немедленной нагрузкой

Имплантация с немедленной нагрузкой

Имплантация
Больше информации о работе
На нижней челюсти проведена имплантация в области жевательных зубов
На нижней челюсти проведена имплантация в области жевательных зубов

На нижней челюсти проведена имплантация в области жевательных зубов

Имплантация
Больше информации о работе
пациент до
пациент после

All-on-4 на обе челюсти за 8 дней с имплантатами Megagen

Имплантация All-on-4
Больше информации о работе
Ситуация до имплантации
Пациент после имплантации по методике все на шести

Имплантация по методике все на шести с использованием имплантатов Megagen

Имплантация All-on-4 / All-on-6
Больше информации о работе
Протезирование на имплантатах по методике все на 4/6
Протезирование на имплантатах по методике все на 4/6

Протезирование на имплантатах по методике все на 4/6

Имплантация All-on-4 / All-on-6
Больше информации о работе
имплантация по методике все-на-4
имплантация по методике все-на-4

Имплантация зубов по методике все-на-4

Имплантация All-on-4 / All-on-6
Больше информации о работе
восстановление по методике все-на-4
восстановление по методике все-на-4

Восстановление по методике все-на-4

Имплантация All-on-4 / All-on-6
Больше информации о работе
пациент до имплантации
пациент после имплантации

Имплантация по методу all-on-6 на имплантатах Neodent

Имплантация All-on-4 / All-on-6
Больше информации о работе
Комплексная имплантация верхней челюсти с немедленной нагрузкой Все-на-6 До
Комплексная имплантация верхней челюсти с немедленной нагрузкой Все-на-6 После

Комплексная имплантация верхней челюсти с немедленной нагрузкой Все-на-6

Комплексная имплантация и протезирование All-on-6
Больше информации о работе
Комплексная имплантация с немедленной нагрузкой Все-на-6 верхней и нижней челюсти До
Комплексная имплантация с немедленной нагрузкой Все-на-6 верхней и нижней челюсти После

Комплексная имплантация с немедленной нагрузкой Все-на-6 верхней и нижней челюсти

Комплексная имплантация и протезирование All-on-6
Больше информации о работе
Имплантация по методу All-on-4.
Имплантация по методу All-on-4.

Имплантация по методу All-on-4.

Имплантация
Больше информации о работе
Имплантация с немедленной нагрузкой
Имплантация с немедленной нагрузкой

Имплантация с немедленной нагрузкой

Имплантация
Больше информации о работе
Протезирование металлокерамическим протезом после остеоинтеграции 6 имплантатов
Протезирование металлокерамическим протезом после остеоинтеграции 6 имплантатов

Протезирование металлокерамическим протезом после остеоинтеграции 6 имплантатов

Имплантация
Больше информации о работе
Комплексная имплантация все-на-6 верхней челюсти
Комплексная имплантация все-на-6 верхней челюсти

Комплексная имплантация все-на-6 верхней челюсти

Имплантация
Больше информации о работе
Установка мостовидного протеза
Установка мостовидного протеза

Установка мостовидного протеза

Протезирование
Больше информации о работе
пациент до установки протеза бабочка
пациент после протезирования

Установка протеза бабочка

Протезирование
Больше информации о работе
пациент до установки протезов
установка съемных протезов

Полные съемные пластиночные протезы

Съемное протезирование
Больше информации о работе
пациент до протезирования
съемный протез

Частичные съемные пластиночные протезы

Съемное протезирование
Больше информации о работе
протезирование на имплатнте
результат протезирования

Протезирование металлокерамическими коронками и 1 коронкой на импланте

Протезирование
Больше информации о работе
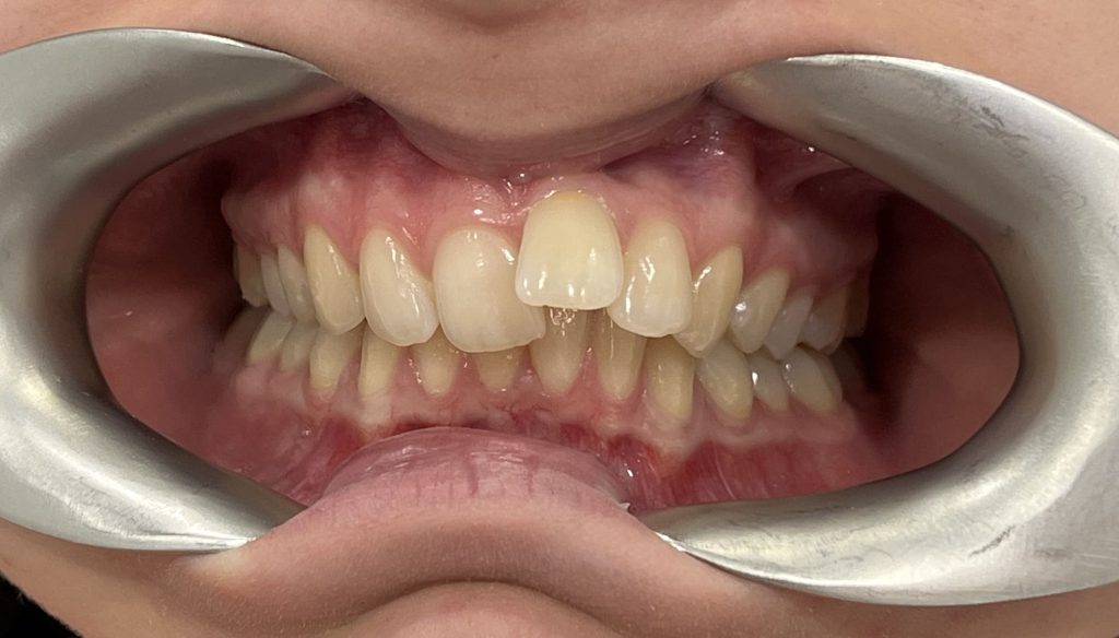
Адгезивный протез, выполнен для устранения эстетического дефекта
Адгезивный протез, выполнен для устранения эстетического дефекта

Адгезивный протез, выполнен для устранения эстетического дефекта

Адгезивный протез
Больше информации о работе
Коронки из диоксида циркония и мостовидные протезы из диоксида циркония
Коронки из диоксида циркония и мостовидные протезы из диоксида циркония

Коронки из диоксида циркония на верхней челюсти и мостовидные протезы из диоксида циркония в жевательный отделах на верхней и нижней челюсти

Коронки из диоксида циркония и мостовидные протезы из диоксида циркония
Больше информации о работе
пациент до установки виниров
пациент после керамических виниров

Установка керамических виниров из пресс-керамики Е-мах

Керамические виниры
Больше информации о работе
Замена композитных виниров на керамические
Замена композитных виниров на керамические

Замена композитных виниров на керамические

Виниры
Больше информации о работе
керамическе виниры из пресс-керамики E-max
керамическе виниры из пресс-керамики E-max

7 керамических виниров из пресс-керамики E-max

керамическе виниры из пресс-керамики E-max
Больше информации о работе
Виниры из пресс-керамики E-max ДО
Виниры из пресс-керамики E-max После

Виниры из пресс-керамики E-max

Эстетическая стоматология
Больше информации о работе
Керамические виниры из пресс-керамики E-max на фронтальные зубы
Керамические виниры из пресс-керамики E-max на фронтальные зубы

Керамические виниры из пресс-керамики E-max на фронтальные зубы

Керамические виниры из пресс-керамики E-max
Больше информации о работе
Керамические виниры из пресс-керамики
Керамические виниры из пресс-керамики

Керамические виниры из пресс-керамики на верхней челюсти ( 8 единиц)

Керамические виниры из пресс-керамики
Больше информации о работе
Керамические виниры коронки из пресс-керамики E-max.
Керамические виниры коронки из пресс-керамики E-max.

Керамические виниры на верхней челюсти (6 единиц ) и 4 коронки из пресс-керамики E-max.

Керамические виниры коронки из пресс-керамики E-max.
Больше информации о работе
Композитные виниры. Выполнены на фронтальной группе зубов нижней челюсти.
Композитные виниры. Выполнены на фронтальной группе зубов нижней челюсти.

Композитные виниры. Выполнены на фронтальной группе зубов нижней челюсти.

Композитные виниры
Больше информации о работе
Протезирование керамическими винирами и коронками из пресс-керамики E-max.
Протезирование керамическими винирами и коронками из пресс-керамики E-max.

Протезирование керамическими винирами и коронками из пресс-керамики E-max.

Виниры
Больше информации о работе
Композитные виниры
Композитные виниры

Композитные виниры

Виниры
Больше информации о работе
Установка компониров на верхней челюсти с целью устранения диастемы
Установка компониров на верхней челюсти с целью устранения диастемы

Установка компониров на верхней челюсти с целью устранения диастемы

Компониры
Больше информации о работе
пациент до
пациент после

Промежуточный результат лечения на самолигирующей брекет-системе H4

Ортодонтия
Больше информации о работе
пациент до
пациент после

Аппарат Марко Роса и Частичная брекет-система «4*2» BioMim

Ортодонтия
Больше информации о работе
пациент до
пациент после

Самолигирующая брекет-система Damon Q с применением 2-х микроимплантов

Ортодонтия
Больше информации о работе
пациент до
пациент после

Самолигирующая брекет-система SmartClip

Ортодонтия
Больше информации о работе
пациент до
пациент после

Самолигирующая брекет-сиситема Damon Q и Damon Clear

Ортодонтия
Больше информации о работе
пациент до
пациент после

Лечение на самолигирующей брекет-системе SmartClip

Ортодонтия
Больше информации о работе
пациент до
пациент после

Лечение на самолигирующей брекет-системе H4

Ортодонтия
Больше информации о работе
С помощью частичной брекет-системы зуб вернули в зубной ряд
С помощью частичной брекет-системы зуб вернули в зубной ряд

Ортодонтическое лечение с частичной брекет-системой

Ортодонтия
Больше информации о работе
Восстановление 16 зуба после повторного эндодонтического лечения
Восстановление 16 зуба после повторного эндодонтического лечения

Восстановление 16 зуба после повторного эндодонтического лечения

Восстановление 16 зуба
Больше информации о работе
Замена несостоятельных пломб на 6 и 7 зубе
Замена несостоятельных пломб на 6 и 7 зубе

Замена несостоятельных пломб на 6 и 7 зубе

Замена несостоятельных пломб
Больше информации о работе
Лечение пришеечного кариеса
Лечение пришеечного кариеса

Лечение пришеечного кариеса

Лечение кариеса
Больше информации о работе
Лечение фиссурного кариеса 5 и 6 зубов
Лечение фиссурного кариеса 5 и 6 зубов

Лечение фиссурного кариеса 5 и 6 зубов

Лечение фиссурного кариеса
Больше информации о работе
Пломбирование пришеечных дефектов
Пломбирование пришеечных дефектов

Пломбирование пришеечных дефектов

Пломбирование дефектов
Больше информации о работе
Эндодонтическое лечение каналов под микроскопом
Эндодонтическое лечение каналов под микроскопом

Эндодонтическое лечение каналов

Эндодонтическое лечение каналов под микроскопом
Больше информации о работе
Профессиональная гигиена при ортодонтическом лечении.
Профессиональная гигиена при ортодонтическом лечении.

Профессиональная гигиена при ортодонтическом лечении.

Профессиональная гигиена
Больше информации о работе
Профессиональная гигиена полости рта
Профессиональная гигиена полости рта

Профессиональная гигиена полости рта. Пациент, 34 года.

Профессиональная гигиена полости рта
Больше информации о работе
Профессиональная гигиена полости рта.
Профессиональная гигиена полости рта

Профессиональная гигиена полости рта. Пациент 8 лет.

Профессиональная гигиена полости рта.
Больше информации о работе
офисное отбеливание
офисное отбеливание

офисное отбеливание выполнена системой для офисного отбеливания POWER WHITENING YF 40%

офисное отбеливание
Больше информации о работе
профессиональное офисное отбеливание
профессиональное офисное отбеливание

профессиональное офисное отбеливание система отбеливания Opalescence Boost PF 40%

профессиональное офисное отбеливание
Больше информации о работе

Запись на приём

    Ваше Имя *

    Поле является обязательным

    Ваш Телефон *

    Поле является обязательным

    Выбор врача

    Выбор врача

    • Терапевт

    • Хирург

    • Ортопед

    • Ортодонт

    • Парадонтолог

    Поле является обязательным