г. Минск
ул. Денисовская 5
(м. Кавальская Слабада)

Пн-Пт 9:00-21:00
Cб 9:00-15:00
Вс — выходной

Запись на приём:
Организация лечения иностранных граждан:
Ортопедия

Ортодонтия в Минске

Под неправильным прикусом понимается аномальное смыкание зубов, вследствие которого нарушается функционирование всей зубочелюстной системы.

Ортопедия в Минске

Под неправильным прикусом понимается аномальное смыкание зубов, вследствие которого нарушается функционирование всей зубочелюстной системы. В норме верхний зубной ряд должен слегка прикрывать нижний.

При нарушении положения зубов жевательная нагрузка распределяется неравномерно, что приводит к различным проблемам:

  • постоянная травматизация слизистой рта;
  • нарушение дыхания;
  • ухудшение дикции;
  • развитие пародонтоза;
  • асимметрия лица;
  • головные боли;
  • повышенная стираемость зубов;
  • патологии носоглотки;
  • боли в спине, шейном и плечевом отделе;
  • заболевания системы пищеварения, связанные с ухудшением жевательных функций.

Чтобы избежать перечисленных неприятностей со здоровьем, нужно вовремя обращаться к специалисту для исправления прикуса.

Виды ортодонтического лечения

Установка брекетов

Установка брекетов

Брекет-система Damon

Брекет-система Damon

Металлические брекеты

Металлические брекеты

Керамические брекеты

Керамические брекеты

Самолигирующие брекеты

Самолигирующие брекеты

Ретейнеры для зубов

Ретейнеры для зубов

Элайнеры

Элайнеры

Ортодонтические пластинки

Ортодонтические пластинки для детей

К кому обращаться за ортодонтическим лечением?

Ортодонтия

 

 

Устранением дефектов прикуса занимается стоматолог-ортодонт. Помощь такого специалиста может потребоваться в любом возрасте, поэтому к нему могут обращаться и взрослые, и дети. Доктор проведет диагностику, разработает план терапии, подберет подходящую методику для коррекции неправильного смыкания челюсти.

 

Показания к исправлению прикуса:

 

  • скученность зубного ряда;
  • значительные промежутки между зубами;
  • неправильная форма или нестандартный размер зубных единиц;
  • аномальное расположение челюстей.

 

Ортодонт решит проблемы с неровностью, скученностью, неправильной формой зубов, устранит эстетические дефекты и другие нарушения зубочелюстной системы.

Методы ортодонтического лечения

При выборе метода лечения врач ориентируется на клиническую картину, состояние полости рта, индивидуальные особенности пациента, его пожелания и бюджет.

методы ортодонтического лечения
  • Брекеты – корректирующая конструкция, которая крепится на зубы с наружной или внутренней стороны. Брекет-системы бывают металлические, керамические, лигатурные и другие. С их помощью можно устранить даже сложные дефекты челюсти.
  • Элайнеры – это практически незаметная прозрачная конструкция, разновидность капы, изготовленная из пластика или силикона. Элайнеры отличаются доступной стоимостью и высокой корректирующей эффективностью.

Если дефекты смыкания зубов не удается исправить консервативными методами, пациенту назначают хирургическое лечение.

Этапы ортодонтического лечения

Этапы ортодонтического лечения
  1. Консультация.

 

Доктор осмотрит пациента, поставит предварительный диагноз, озвучит примерную стоимость лечения.

 

  1. Диагностика.

 

Постановка точного диагноза на основе рентгеновских снимков, МРТ или компьютерной томографии.

 

  1. Подготовка.

 

Разработка плана лечения, подбор методики, удаление зубов при необходимости, санация полости рта, снятие оттиска челюсти.

 

  1. Установка корректирующей системы.

 

Фиксация брекетов или элайнеров в полости рта.

 

  1. Лечение и контроль.

 

Длительность терапии зависит от индивидуальных особенностей пациента. Срок ношения брекетов занимает от года до нескольких лет. В процессе нужно регулярно посещать врача для контроля ситуации.

 

  1. Завершение.

 

Снятие брекетов, установка ретейнеров, необходимых для восстановления зубного ряда, врачебные рекомендации по уходу за зубами.

Работы врачей StomTravel

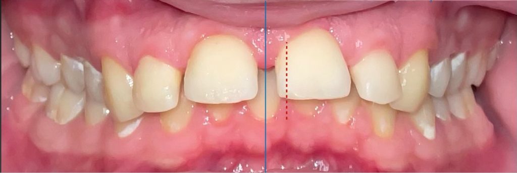
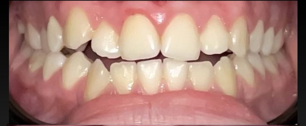
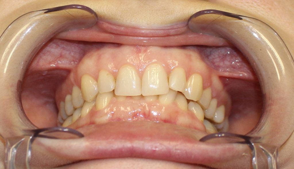
С помощью частичной брекет-системы зуб вернули в зубной ряд
С помощью частичной брекет-системы зуб вернули в зубной ряд

Ортодонтическое лечение с частичной брекет-системой

Ортодонтия
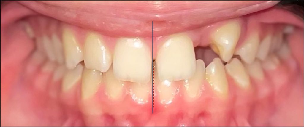
пациент до
пациент после

Лечение на самолигирующей брекет-системе H4

Ортодонтия
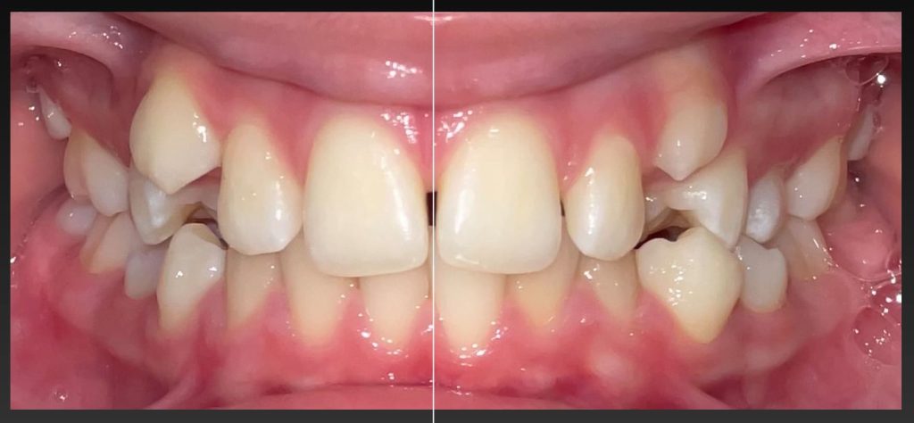
пациент до
пациент после

Лечение на самолигирующей брекет-системе SmartClip

Ортодонтия
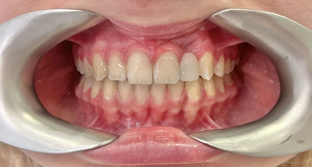
пациент до
пациент после

Самолигирующая брекет-сиситема Damon Q и Damon Clear

Ортодонтия
пациент до
пациент после

Самолигирующая брекет-система SmartClip

Ортодонтия
пациент до
пациент после

Самолигирующая брекет-система Damon Q с применением 2-х микроимплантов

Ортодонтия

Сколько стоит лечение у ортодонта?

Стоимость ортодонтических услуг рассчитывается в индивидуальном порядке.

 

Цена зависит от:

 

  • степени сложности челюстной аномалии;
  • выбранной терапевтической тактики;
  • типа ортодонтической конструкции;
  • длительности лечения;
  • используемого материала.

 

С примерным прайсом на ортодонтические услуги можно ознакомиться нашем сайте. Чтобы узнать, сколько будет стоить исправление прикуса конкретно в вашем случае, запишитесь на прием в стоматологию Stomtravel. Специалисты нашей клиники занимаются решением стоматологических проблем любой сложности.

 

На первой консультации врач обозначит полную стоимость терапии. Записаться на прием ортодонта в Минске можно по телефону или через форму записи на сайте.  Наши врачи позаботятся о том, чтобы лечение прошло комфортно и безболезненно, устраняет эстетические дефекты и сделают вашу улыбку здоровой и привлекательной.

Наименование услуги Цена, BYN
Ортодонтия
Первичная консультация стоматолога-ортодонта 25-35
Брекет-системы и коррекции
Диагностика перед лечением брекетами с визуализацией плана лечения и расчетом снимков. (Изготовление диагностических моделей, расчет снимков ТРГ и 3D-снимка, фотопротокол, визуализация плана лечения) 290
Установка брекетов самолигирующих металлических Damon Q (США) (1 челюсть) 2750
Установка брекетов самолигирующих металлических H4 (США) (1челюсть) 2500
Установка брекетов самолигирующих металлических Pitts 21 (США) (1челюсть) 2840
Коррекция самолигирующих брекетов (1 челюсть без замены дуг) 180
Коррекция самолигирующих брекетов (1 челюсть с заменой дуг) 220
Коррекция частичной брекет-системы (1 челюсть) 135
Установка эластической цепочки 50 - 100
Шип для языка (фиксация) 50
Установка межчелюстной тяги (эластики) 25
Нёбная кнопка (фиксация) 50
Щечная трубка (фиксация) 50
Подклейка брекета (при сохранности брекета) 60
Установка разобщающей накладки (1 шт) 50
Установка торковой пружины 50
Установка закрывающей пружины 50
Установка микроимплантата ортодонтического 435
Снятие брекет-системы (1челюсть)
385
Ретенционная каппа (1 челюсть, стоимость слепка включена) 285
Несъёмный ретейнер (1 челюсть) 345
Проф. гигиена при ортодонтическом лечении брекет-системами 190
Элайнеры (ортодонтическое лечение с помощью капп):
Диагностика (фотопротокол, снятие слепков и расчёт снимков) + сетап (полное компьютерное моделирование лечения) 1060
Стоимость ортодонтических капп (элайнеров) в зависимости от длительности лечения
Сверхмалый кейс (5 капп) 2200
Малый кейс (до 10 капп) 3900
Средний кейс (до 20 капп) 7300
Большой кейс (21-36 капп): 11 000
Сверхбольшой кейс (37 капп и более) 13 000
Динамическое наблюдение в процессе лечения элайнерами (включает контроль перемещения зубов в соответствии с сетапом, сепарация боковых поверхностей зубов, замена активаторов) (1 челюсть) 200
Дополнительные манипуляции ( при необходимости) *
*Установка межчелюстной тяги (эластики) 25
*Установка разобщающей накладки (1 шт) 50
*Установка кнопок (1 шт) 50
*Установка микроимплантата ортодонтического 435
Ретенционная каппа после окончания лечения (1 челюсть, стоимость слепка включена) 285
Несъёмный ретейнер после окончания лечения (1 челюсть) 345
Проф. гигиена при ортодонтическом лечении элайнерами 190
Ортодонтические аппараты для коррекции прикуса
Слепок 1 челюсть 50
Динамическое наблюдение в процессе лечения ортодонтическими аппаратами 50
LM-активатор, Миобрейс, трейнер, Ортотейн 600
Несъёмная ортодонтическая пластина (Лингвальная дуга) 385
Изготовление и установка несъёмного ортодонтического кольца с распоркой 265
Снятие ортодонтического кольца 50
Подклейка ортодонтического кольца 50
Изготовление и фиксация аппарата "Марко Роса" (Marco Rosa) 900
Повторная фиксация аппарата "Марко Роса" (Marco Rosa) 50
Снятие аппарата "Марко Роса" 60
Изготовление и установка ортодонтической пластинка без винта 370
Изготовление и установка ортодонтической пластинки с винтом 390
Коррекция ортодонтической пластины 50

Наши врачи

Давидович Анастасия Борисовна

Давидович Анастасия Борисовна

Стоматолог-ортодонт, комплексная диагностика

Отзывы пациентов

А
Алекса
Огромное спасибо за внимание и прекрасное обслуживание. Приду! И еще не один раз!
30 января 2020, 17:19
А
Александр Евтушенко
Хочу поблагодарить Диманову Светлану Вячеславовну за хорошую организацию моего зубного прикуса, так же дала рекомендации по уходу зубов и всей полости рта, Спасибо Светлане, действительно врач вышей категории
4 января 2022, 14:39
В
Виктория
От лечения у Игоря Борисовича остались только положительные эмоции. Очень понравилось отношение ещё на консультации, рассказал подробно все по моему снимку, возможные варианты протезирования, плюсы и минусы каждого, без спешки, поэтому после консультации решила больше никуда не ходить. И не была разочарована ни на одном приеме! Спасибо за Ваш профессионализм и человечность!
10 декабря 2019, 15:53
В
Владимир
Спасибо за большую проделанную работу, все сделали в обещанный срок и качественно. Вежливый персонал и адекватные цены, буду советовать Вашу клинику знакомым.
23 февраля 2020, 14:11
Д
Дмитрий
Хочу выразить благодарность всему коллективу StomTravel за отличную работу и внимательное отношение к клиентам. Особо отмечу работу терапевта Шабусовой Аллы Ивановны и администратора Солоненко Ж.С.
1 ноября 2020, 00:30
Д
Дмитрий и Юлия
Побывали всей семьёй у замечательного доктора Димановой Светланы. Остались очень довольны внимательностью, профессионализмом, тактичностью всех сотрудников и высоким качеством услуг по умеренной стоимости. Отдельная благодарность от маленького посетителя — нашей полутора годовалой доченьки. Пока мама с папой по очереди лечили зубки, ей было не скучно, так как заботливая администратор совершенно бесплатно принесла занимательный познавательно-развлекательный журнальчик о зубках))
11 февраля 2022, 13:39

    Ваше Имя *

    Поле является обязательным

    Ваш Телефон *

    Поле является обязательным

    Выбор услуги

    Выбор услуги

    • Терапия

    • Хирургия

    • Имплантация

    • Протезирование

    • Эстетическая стоматология

    • Ортодонтия

    • Парадонтология

    • Детская стоматология

    Поле является обязательным

    Частые вопросы пациентов по ортодонтическому лечению

    Ношение брекет-системы может вызывать некоторый дискомфорт в период адаптации. Пациенты могут ощущать повышенную чувствительность эмали, давление на зубы, болезненность слизистых оболочек. Со временем неприятные ощущения проходят.

    Сроки ношения брекет-системы определяются индивидуально для каждого пациента. Длительность ортодонтического лечения может составлять от полугода до трех лет. Она зависит от возраста, степени сложности дефекта, вида конструкции и других факторов.

    Да, при необходимости, зубы можно лечить и во время ношения брекет-системы. Стоматолог-ортодонт предварительно снимет дуги или отдельный брекет, затем установит их обратно.

    Устанавливать брекеты при беременности не рекомендуется, поскольку организм женщины в это время является достаточно уязвимым и восприимчивым к любым вмешательствам. Но если женщина в процессе ношения брекет-системы забеременела, она должна сообщить об этом своему ортодонту. Дальнейшее решение о лечении принимается исходя из особенностей здоровья и индивидуальной ситуации. Возможно, врач порекомендует временно заменить брекеты на элайнеры или ретенционные капы.

    Металлическая часть ортодонтической конструкции изготавливается из сплавов, которые не меняют своих свойств под воздействием аппарата магнитно-резонансной томографии. Поэтому процедура МРТ абсолютна безопасна для пациентов с брекетами.

    Да, установка брекетов является эффективным методом исправления прикуса и устранения ортодонтических проблем даже во взрослом возрасте.

    Да, при небольших ортодонтических дефектах допустимо ставить брекет-систему только на одну челюсть. Но в большинстве случаев ортодонты рекомендуют ставить брекеты на обе челюсти.

    Если брекет отклеился, нужно аккуратно снять его с дуги и как можно быстрее обратиться к ортодонту, чтобы он установил брекет на место или приклеил новый. Если длительное время избегать визита к врачу, равновесие конструкции нарушится и процесс лечения значительно замедлится.

    Ортодонтическая пластинка – это вполне эффективное приспособление для выравнивания зубов, но оно подходит только для коррекции незначительных дефектов. Для исправления сложных аномалий прикуса подходят только брекет-системы.

    Нет, в процессе лечения ортодонтическими пластинками пациенту не испытывает боли, но в период привыкания к аппарату он может испытывать небольшой дискомфорт.

    Съемные пластинки крепятся с помощью петлеобразных крючков и используются для коррекции небольших дефектов. Их можно использовать для коррекции одного зуба. Срок лечения съемными аппаратами составляет несколько месяцев.

     

    Несъемные – устанавливаются для коррекции группы зубов. Они имеют специальные замочки, через которые проходит дуга. Лечение несъемными аппаратами занимает в среднем около двух лет.

    Частота посещений зависит от типа ортодонтической пластинки и сложности самого дефекта. С одними аппаратами требуется посещать ортодонта раз в месяц, с другими реже. Коррекционные визиты, как правило, занимают не более 10-15 минут.

    Да, в большинстве случаев при ношении ортодонтических пластинок пациент может заниматься спортом. Ограничения касаются только травматичных видов спорта – бокс, регби, хоккей и др. В этом случае возникает риск травмирования челюсти и повреждения аппарата.

    При повреждении пластинки не нужно пытаться починить ее самостоятельно, следует как можно быстрее обратиться к лечащему врачу. Все отпавшие и сломанные детали нужно принести с собой.

    Если в процессе ношения ортодонтической пластинки появилась боль, ее нельзя игнорировать, нужно обратиться к своему ортодонту. Врач выяснит причину болезненности и устранит ее. Если пластинка съемная, сделайте перерыв в ношении до визита к врачу.

    Похожие статьи по теме

    Чем чистить брекеты, коронки и импланты?

    Сертификаты и лицензии

    Наши стоматологи постоянно повышают квалификацию, чтобы оказывать услуги по современным протоколом и добиваться наилучшего результата и быстрой реабилитации пациентов в минимальные сроки