г. Минск
ул. Денисовская 5
(м. Кавальская Слабада)

Пн-Пт 9:00-21:00
Cб 9:00-15:00
Вс — выходной

Запись на приём:
Организация лечения иностранных граждан:

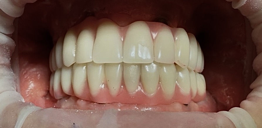
Комплексная одноэтапная имплантация зубов верхней и нижней челюсти

Описание случая

Протезирование на имплантатах временными конструкциями осуществляется сразу после имплантации зубов.

 

Изготовлены металлоакриловые протезы, которые восстанавливают эстетику и жевательную функцию. Пациент может вести обычный образ жизни. Для выполнения работы потребовалось 7 дней.

Работа врачей

Сурин Артем Владимирович

Сурин Артем Владимирович

Стоматолог-хирург, стомоатолог-ортопед, имплантолог
1 квалификационная категория
Стаж работы: с 2007 года
Узнать больше о враче

Запись на приём

    Ваше Имя *

    Поле является обязательным

    Ваш Телефон *

    Поле является обязательным

    Выбор врача

    Выбор врача

    • Терапевт

    • Хирург

    • Ортопед

    • Ортодонт

    • Парадонтолог

    Поле является обязательным