г. Минск
ул. Денисовская 5
(м. Кавальская Слабада)

Пн-Пт 9:00-21:00
Cб 9:00-15:00
Вс — выходной

Запись на приём:
Организация лечения иностранных граждан:

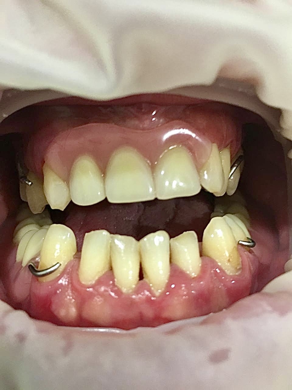
Частичные съемные пластиночные протезы

Описание случая

Два частичных съемных акриловых протеза. Один из самых доступных вариантов протезирования для быстрого восстановления жевательной функции и эстетики. Фиксируется с помощью металлических кламмеров на оставшихся зубах. Не требует предварительной подготовки, обработки опорных зубов.

По времени изготовления- 4 посещения, при необходимости добавляется одно посещение на коррекцию.

Работа врачей

Сурин Артем Владимирович

Сурин Артем Владимирович

Стоматолог-хирург, стомоатолог-ортопед, имплантолог
1 квалификационная категория
Стаж работы: с 2007 года
Узнать больше о враче

Запись на приём

    Ваше Имя *

    Поле является обязательным

    Ваш Телефон *

    Поле является обязательным

    Выбор врача

    Выбор врача

    • Терапевт

    • Хирург

    • Ортопед

    • Ортодонт

    • Парадонтолог

    Поле является обязательным