г. Минск
ул. Денисовская 5
(м. Кавальская Слабада)

Пн-Пт 9:00-21:00
Cб 9:00-15:00
Вс — выходной

Запись на приём:
Организация лечения иностранных граждан:

Лечение на самолигирующей брекет-системе SmartClip

Описание случая

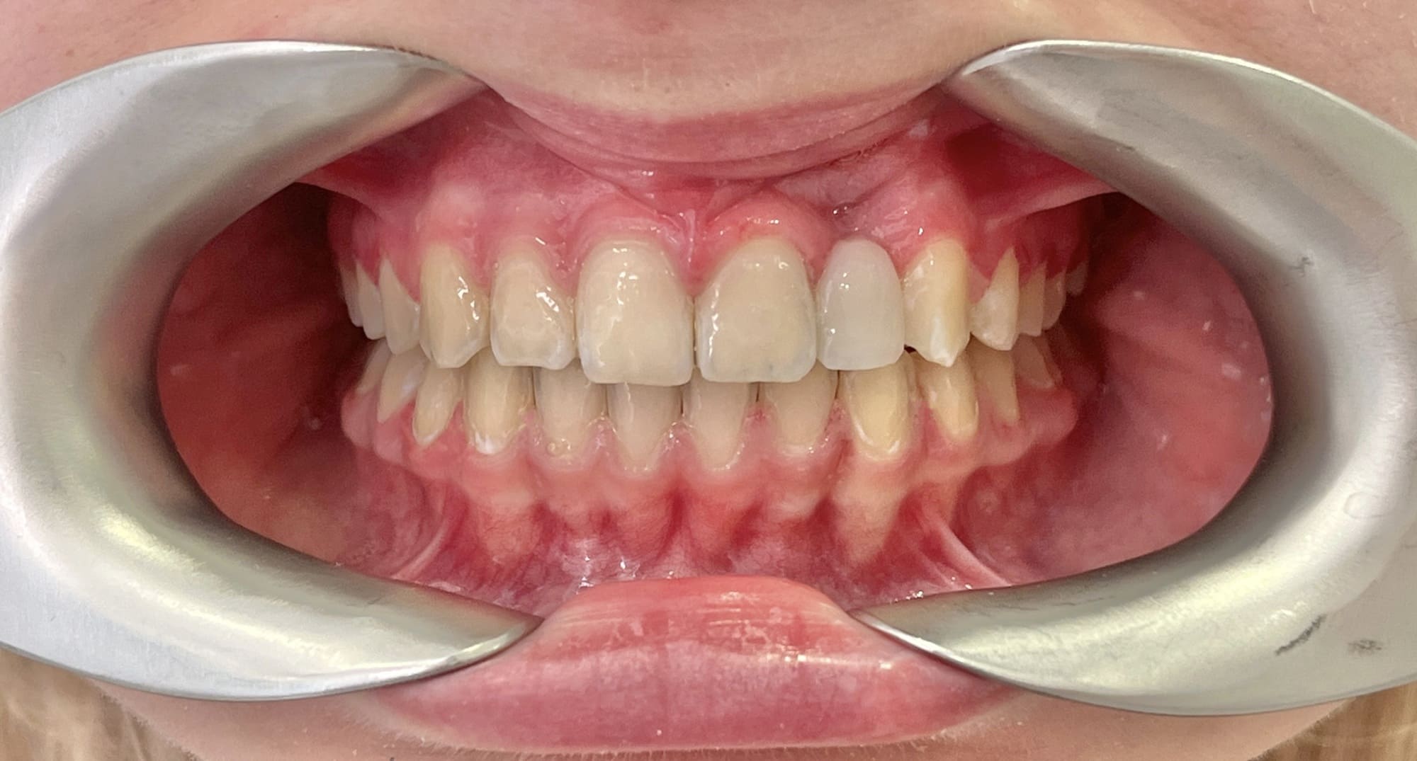
Пациент 13 лет.

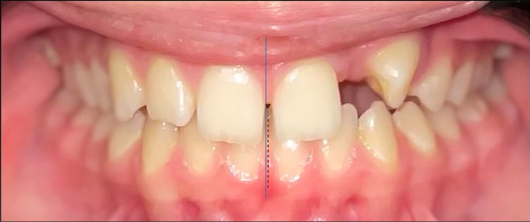
Дистальный прикус, отсутствие зуба 2.2 (вторичная адентия), диастема на верхней челюсти = 2 мм.

Срок лечения на самолигирующей брекет-системе SmartClip — 2 года и 6 месяцев.

Сразу после снятия брекет-системы был изготовлен адгезивный мостовидный протез с опорой на зубы 2.1 и 2.3.

Работа врачей

Давидович Анастасия Борисовна

Давидович Анастасия Борисовна

Стоматолог-ортодонт
2 квалификационная категория
Стаж работы: с 2020 года
Узнать больше о враче

Запись на приём

    Ваше Имя *

    Поле является обязательным

    Ваш Телефон *

    Поле является обязательным

    Выбор врача

    Выбор врача

    • Терапевт

    • Хирург

    • Ортопед

    • Ортодонт

    • Парадонтолог

    Поле является обязательным