г. Минск
ул. Денисовская 5
(м. Кавальская Слабада)

Пн-Пт 9:00-21:00
Cб 9:00-15:00
Вс — выходной

Запись на приём:
Организация лечения иностранных граждан:

Одномоментная имплантация системой Megagen

Описание случая

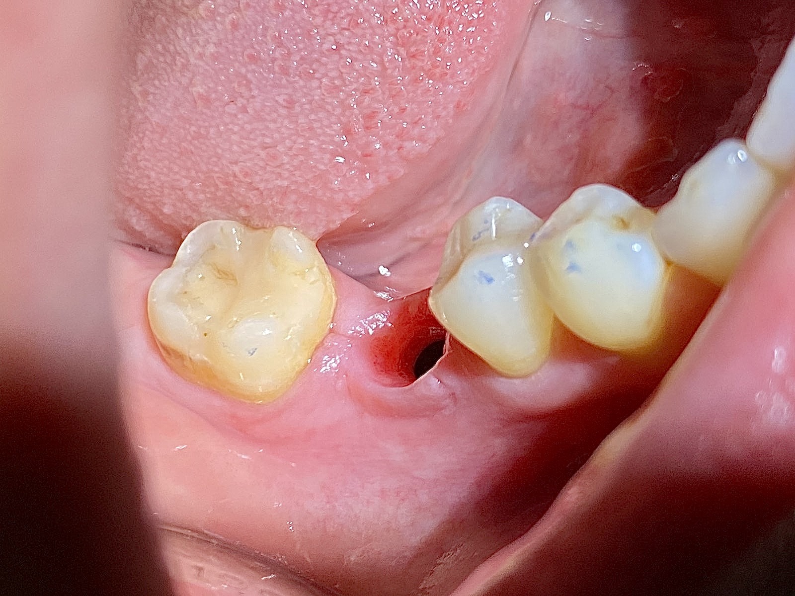
Здесь представлен один из самых распространенных случаев, удаление с одномоментной имплантацией 1 единицы.
Пациент обратился с проблемой: сломался зуб, который до этого уже многократно пломбировался. Зуб потерял прочность и коронка зуба сломалась «под корень».

При осмотре выяснилось, что перелом произошел ниже уровня десны и протезирование на оставшийся корень невозможно. Было проведено удаление корня и имплантация, использована система Megagen.

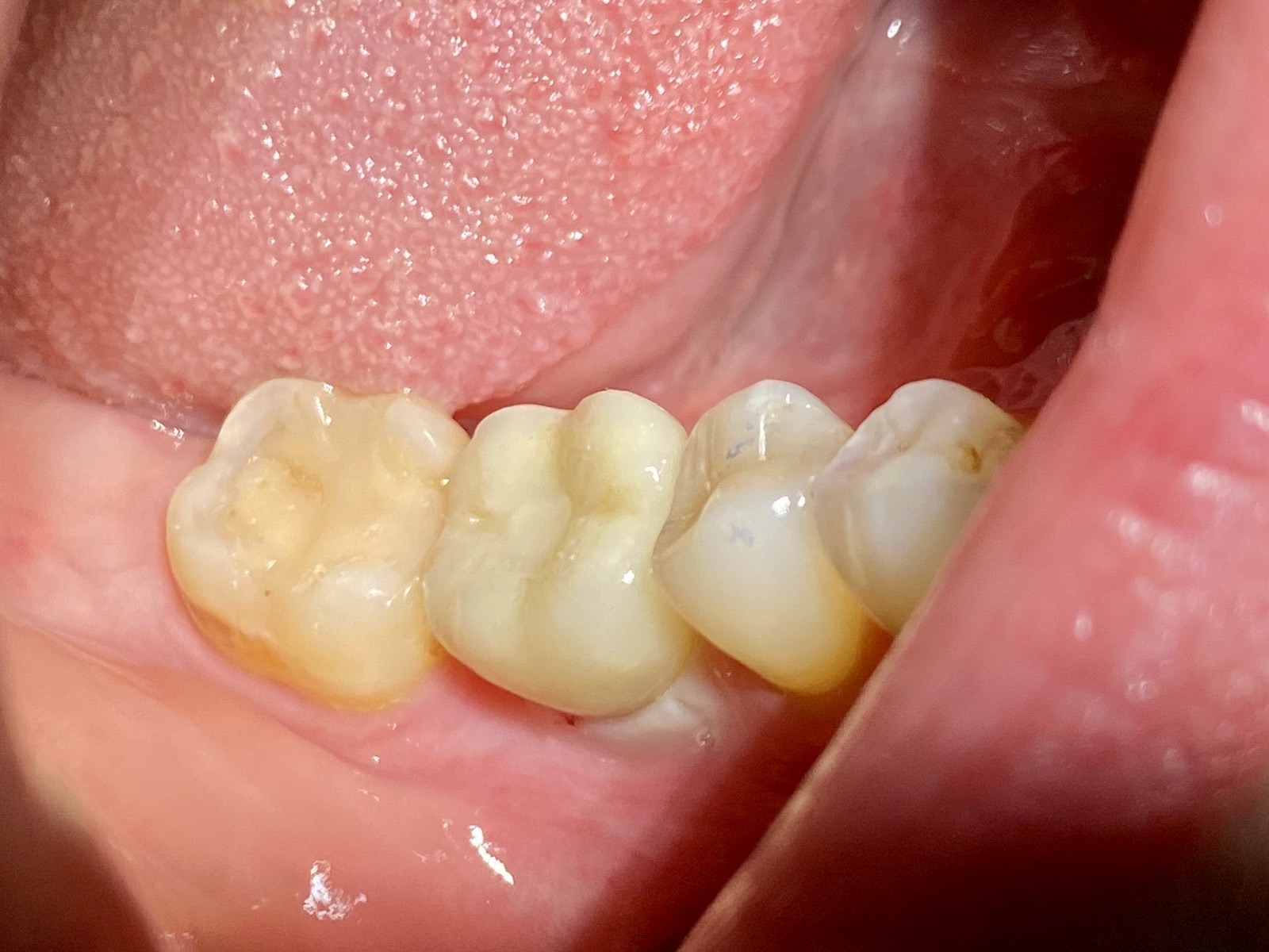
Через 3 месяца проведено протезирование металлокерамической коронкой.

Работа врачей

Сурин Артем Владимирович

Сурин Артем Владимирович

Стоматолог-хирург, стомоатолог-ортопед, имплантолог
1 квалификационная категория
Стаж работы: с 2007 года
Узнать больше о враче

Запись на приём

    Ваше Имя *

    Поле является обязательным

    Ваш Телефон *

    Поле является обязательным

    Выбор врача

    Выбор врача

    • Терапевт

    • Хирург

    • Ортопед

    • Ортодонт

    • Парадонтолог

    Поле является обязательным