г. Минск
ул. Денисовская 5
(м. Кавальская Слабада)

Пн-Пт 9:00-21:00
Cб 9:00-15:00
Вс — выходной

Запись на приём:
Организация лечения иностранных граждан:

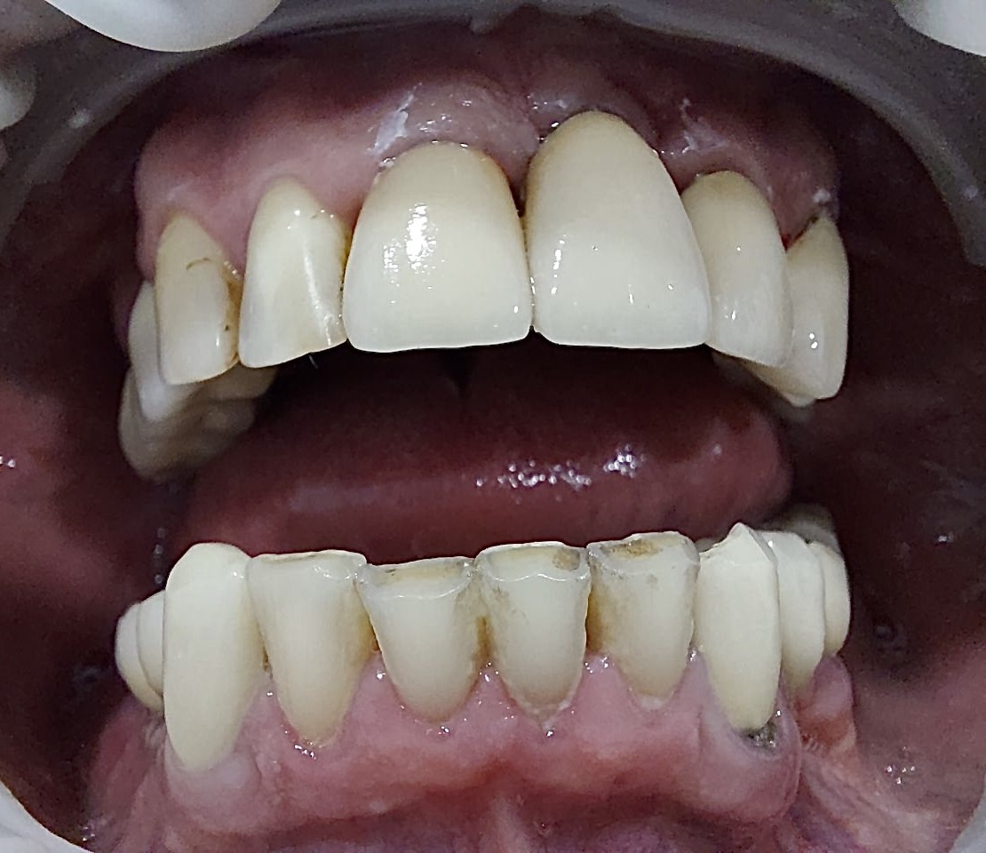
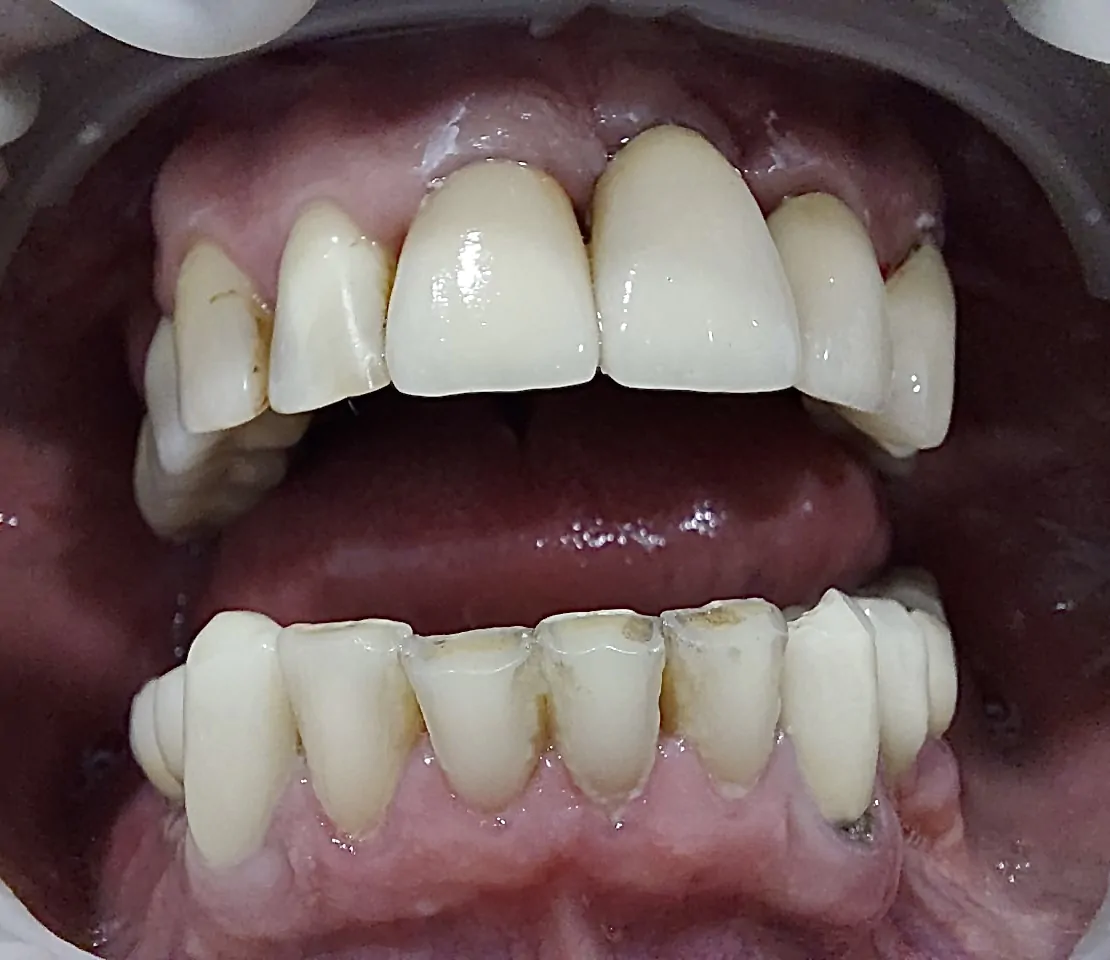
Протезирование металлокерамическими коронками и 1 коронкой на импланте

Описание случая

Пациент обратился с проблемой воспаления 2 единиц под металлокерамическим мостом из 4 единиц,установленном более 10 лет назад.
В процессе обследования выявлен воспалительный процесс на верхушках двух корней. 1 единица была удалена, установлен имплантат. Во второй единице было проведено перелечивание корня с использование микроскопа.

Через несколько месяцев, в течение которых произошла остеоинтеграция имплантата и отмечена положительная динамика на перелеченной единице( киста на верхушке корня начала уменьшаться) произведено протезирование.

Изготовлено 3 металлокерамических коронки и 1 коронка на имплантате, с использованием индивидуального абатмента.
Такая работа выполняется поэтапно и требует определенных перерывов в лечении. После удаления зуба с признаками воспаления до имплантации делается перерыв около месяца. После установления имплантата до момента протезирования от 1 до 4 месяцев для приживления имплантата. После перелечивания зуба с кистой на корне — от 4 до 7 месяцев для оценки результатов.

В данном случае все лечение проведено в течение 6 месяцев.

Работа врачей

Костюкевич Алексей Юрьевич

Костюкевич Алексей Юрьевич

Врач стоматолог-ортопед
Высшая квалификационная категория
Стаж работы: 28 лет
Узнать больше о враче

Запись на приём

    Ваше Имя *

    Поле является обязательным

    Ваш Телефон *

    Поле является обязательным

    Выбор врача

    Выбор врача

    • Терапевт

    • Хирург

    • Ортопед

    • Ортодонт

    • Парадонтолог

    Поле является обязательным