г. Минск
ул. Денисовская 5
(м. Кавальская Слабада)

Пн-Пт 9:00-21:00
Cб 9:00-15:00
Вс — выходной

Запись на приём:
Организация лечения иностранных граждан:

Имплантация по методу all-on-6 на имплантатах Neodent

Описание случая

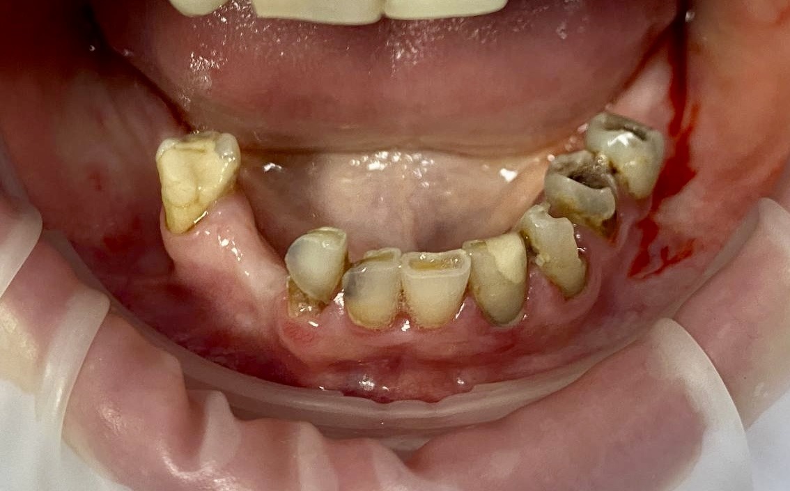
Пациентка обратилась для имплантации и протезирования нижней челюсти, так как после обследования у терапевта и анализа 3D снимка , были показания к удалению 5 зубов.

После консультации у стоматолога-хирурга была выбрана имплантация по методу all-on-6.

На выбор этого метода повлияла возможность не ожидать 4-6 месяцев приживления имплантатов, а сразу провести протезирование шинирующим акриловым протезом, что было важно для пациентки. В работе использованы имплантаты Neodent. Работа выполнена за 6 дней.

Работа врачей

Сурин Артем Владимирович

Сурин Артем Владимирович

Стоматолог-хирург, стомоатолог-ортопед, имплантолог
1 квалификационная категория
Стаж работы: с 2007 года
Узнать больше о враче

Запись на приём

    Ваше Имя *

    Поле является обязательным

    Ваш Телефон *

    Поле является обязательным

    Выбор врача

    Выбор врача

    • Терапевт

    • Хирург

    • Ортопед

    • Ортодонт

    • Парадонтолог

    Поле является обязательным