г. Минск
ул. Денисовская 5
(м. Кавальская Слабада)

Пн-Пт 9:00-21:00
Cб 9:00-15:00
Вс — выходной

Запись на приём:
Организация лечения иностранных граждан:

Имплантация и протезирование верхней челюсти

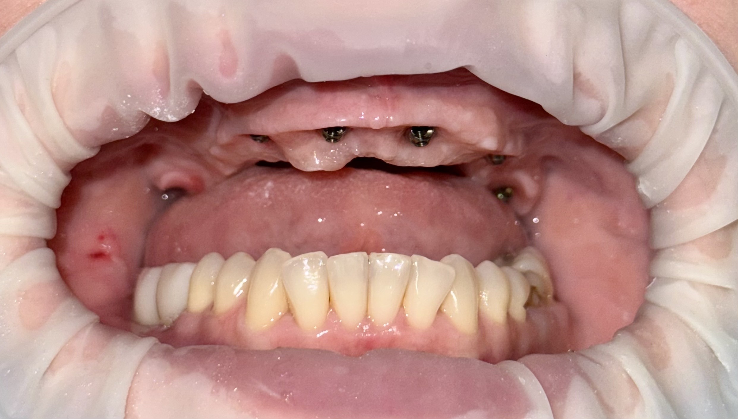
Описание случая

Для проведения работы иностранная пациентка приезжала в нашу стоматологию в Минске, всего потребовалось 3 посещения. Хирургический этап и установка временной конструкции занял 7 дней. Второй приезд для снятия слепков и согласования прототипа циркониевого протеза. Третий — фиксация постоянного протеза из оксида циркония на имплантатах.

Работа врачей

Шалахов Эммануил Владимирович

Шалахов Эммануил Владимирович

Стоматолог-хирург
2 квалификационная категория
Стаж работы: с 2020 года
Узнать больше о враче

Запись на приём

    Ваше Имя *

    Поле является обязательным

    Ваш Телефон *

    Поле является обязательным

    Выбор врача

    Выбор врача

    • Терапевт

    • Хирург

    • Ортопед

    • Ортодонт

    • Парадонтолог

    Поле является обязательным