г. Минск
ул. Денисовская 5
(м. Кавальская Слабада)

Пн-Пт 9:00-21:00
Cб 9:00-15:00
Вс — выходной

Запись на приём:
Организация лечения иностранных граждан:

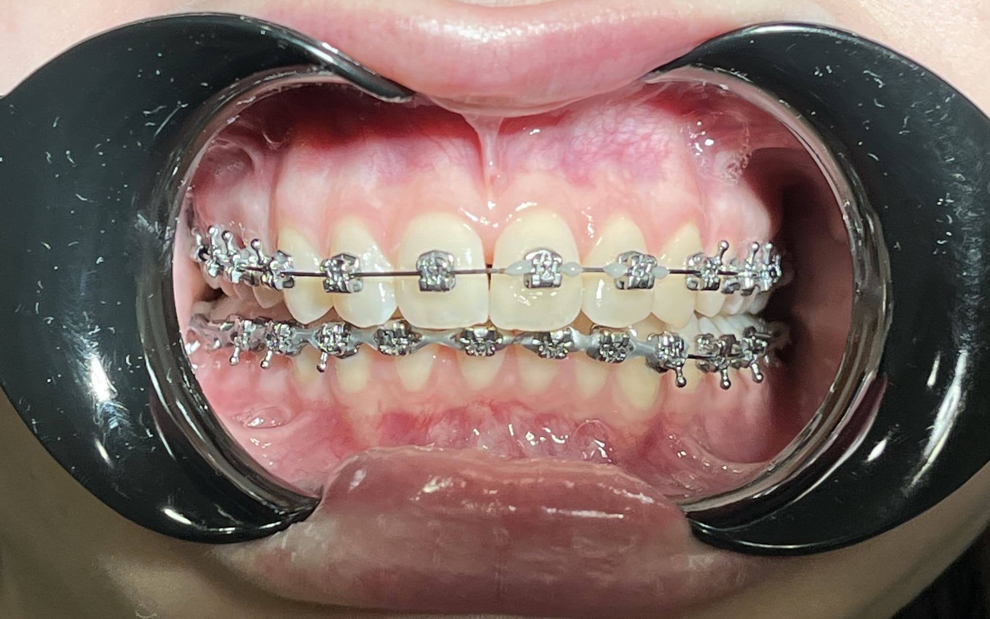
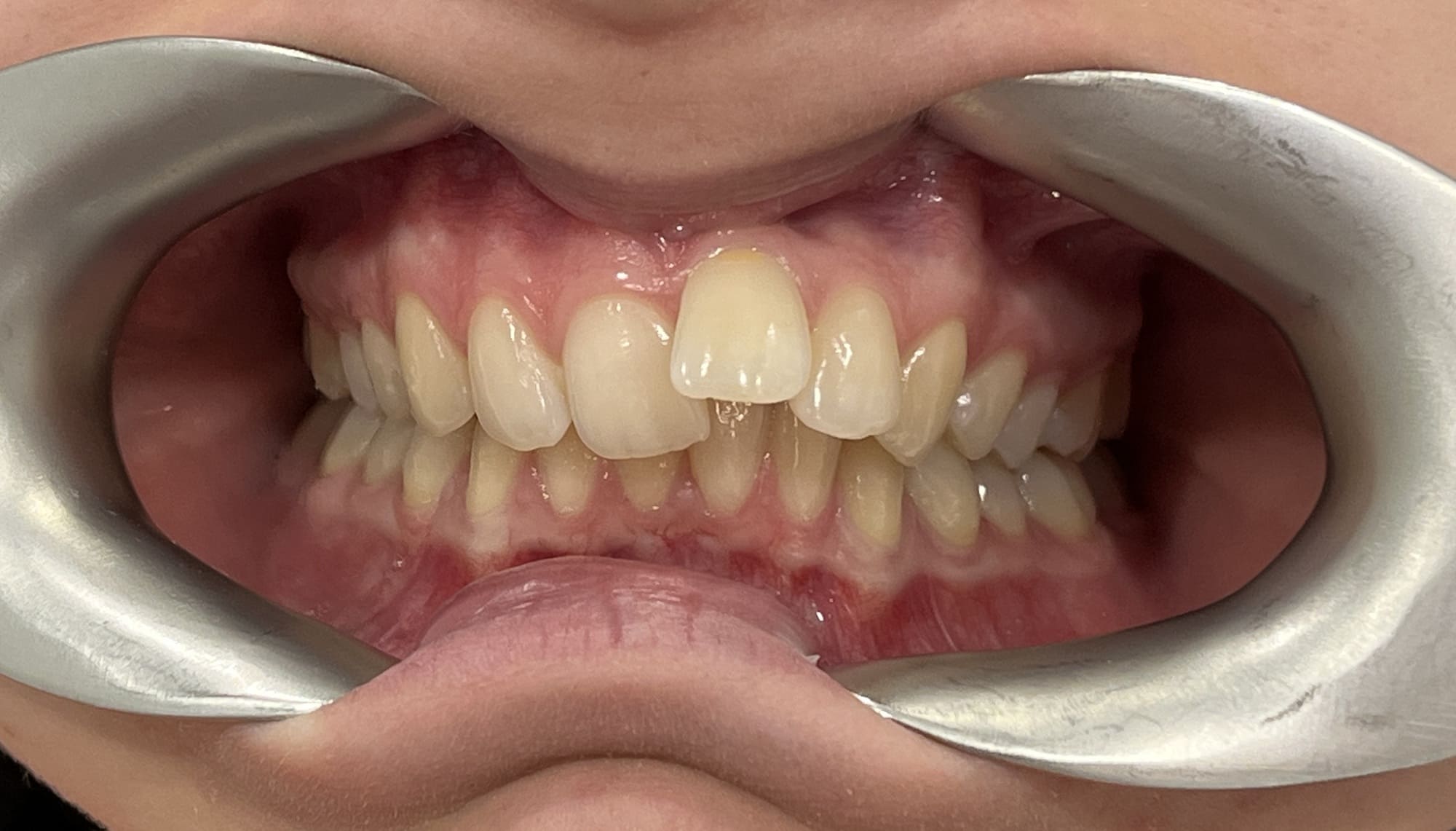
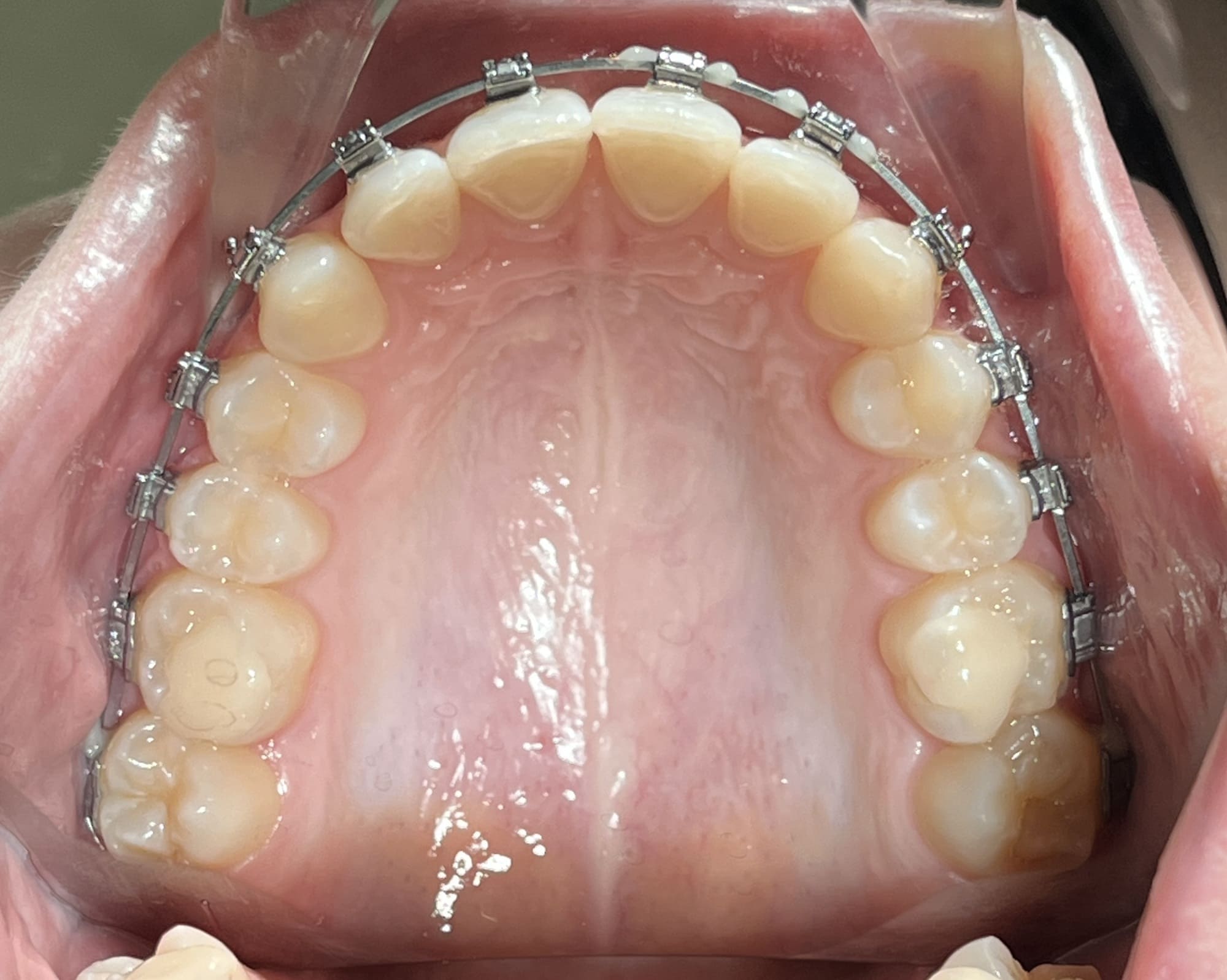
Промежуточный результат лечения на самолигирующей брекет-системе H4

Описание случая

Пациент 21 год.
Дистальный глубокий прикус, сагиттальная щель = 8 мм (по зубу 2.1), сужение и укорочение верхнего и нижнего зубных рядов, тесное положение резцов верхней и нижней челюсти.

Промежуточный результат лечения на самолигирующей брекет-системе H4 (срок ношения — 6 месяцев).

Работа врачей

Давидович Анастасия Борисовна

Давидович Анастасия Борисовна

Стоматолог-ортодонт
2 квалификационная категория
Стаж работы: с 2020 года
Узнать больше о враче

Запись на приём

    Ваше Имя *

    Поле является обязательным

    Ваш Телефон *

    Поле является обязательным

    Выбор врача

    Выбор врача

    • Терапевт

    • Хирург

    • Ортопед

    • Ортодонт

    • Парадонтолог

    Поле является обязательным