г. Минск
ул. Денисовская 5
(м. Кавальская Слабада)

Пн-Пт 9:00-21:00
Cб 9:00-15:00
Вс — выходной

Запись на приём:
Организация лечения иностранных граждан:
Сурин Артем Владимирович

Сурин Артем Владимирович

Стоматолог-хирург, имплантолог, ортопед в Минске.


• Категория: Первая квалификационная категория.
• Ученая степень: Кандидат медицинских наук (К.М.Н.).
Окончил Белорусский государственный медицинский университет в 2007 году.
Стаж работы: с 2007 года

О докторе


Сурин Артем Владимирович — ведущий стоматолог-хирург и ортопед клиники «Стомтревел». Специализируется на комплексной реабилитации пациентов при полной или частичной потере зубов, используя передовые протоколы имплантации и протезирования.
Является автором более 50 научных работ и патента Республики Беларусь в области челюстно-лицевой хирургии. Активный участник международных конгрессов, действительный член ICMART и «Ассоциации оральных и челюстно-лицевых хирургов РБ».

Сурин

 Специализация и оказываемые услуги

  • Имплантация зубов: восстановление улыбки по протоколам All-on-4 (Все на 4) и All-on-6 (Все на 6), классическая двухэтапная и одномоментная имплантация (сразу после удаления зуба). Работает с премиальными системами Straumann, Osstem, Megagen.
  • Хирургическая стоматология: проведение костной пластики (аугментация), синус-лифтинг (открытый и закрытый), сложное удаление зубов мудрости (включая ретинированные и дистопированные зубы).
  • Протезирование зубов: тотальное протезирование, установка безметалловых коронок из диоксида циркония,
  • Виниры: высокоэстетичные керамические виниры E-max.

 

Работы Сурина Артема Владимировича

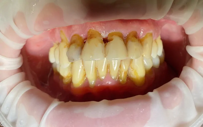
Ситуация до имплантации
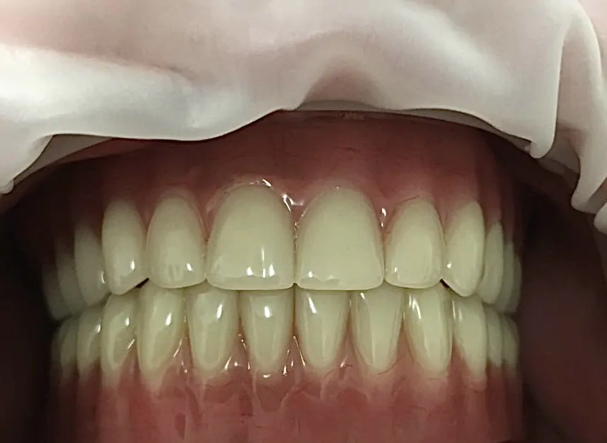
Пациент после имплантации по методике все на шести

Имплантация по методике все на шести с использованием имплантатов Megagen

Имплантация All-on-4 / All-on-6
имплантация по методике все-на-4
имплантация по методике все-на-4

Имплантация зубов по методике все-на-4

Имплантация All-on-4 / All-on-6
До
После

Имплантация с последующим изготовлением протезов с балочным креплением

Имплантация
восстановление по методике все-на-4
восстановление по методике все-на-4

Восстановление по методике все-на-4

Имплантация All-on-4 / All-on-6
Комплексная имплантация все-на-6 верхней челюсти
Комплексная имплантация все-на-6 верхней челюсти

Комплексная имплантация все-на-6 верхней челюсти

Имплантация
Протезирование металлокерамическим протезом после остеоинтеграции 6 имплантатов
Протезирование металлокерамическим протезом после остеоинтеграции 6 имплантатов

Протезирование металлокерамическим протезом после остеоинтеграции 6 имплантатов

Имплантация
протезирование на имплатнте
результат протезирования

Протезирование металлокерамическими коронками и 1 коронкой на импланте

Протезирование

Запись на консультацию

    Ваше Имя *

    Поле является обязательным

    Ваш Телефон *

    Поле является обязательным

    Сертификаты Сурина Артема Владимировича